Aquest post continua dues peces prèvies que, sense voler-ho, han anat convertint-se en una crònica d’aprenentatge accelerat. Primer, el perquè d’escollir una Pastor Alemany 100% DDR i el camí fins a la Duna. Després, el que estàvem descobrint —amb ella i amb la ciència— sobre com un gos pot canviar la teva manera de viure, d’estar present i de cuidar-te. I ara ve la tercera part, la que no estava prevista: quan la salut entra en escena, quan la vida et posa una paraula dura al davant i t’obliga a prendre decisions que no tenen cap glamour.
Per què hem escollit una pastor alemany 100% DDR (i el camí fins a la Duna)
Tenir gos per viure millor: el que estem descobrint amb la Duna (i amb la ciència)
Aquesta és la història del megaesòfag de la Duna, de les radiografies, del moment en què entens que no estàs davant d’una molèstia sinó d’un risc seriós, i del dilema de què vol dir realment “fer el millor” per un animal. I també és la història d’un gir inesperat —la Haka— que arriba quan encara tens el cor encongit. Però si hi ha un fil que vull subratllar des del principi és aquest: enmig de tot, hi ha hagut una figura que ha actuat amb una combinació rara i valuosa de responsabilitat, professionalitat i empatia. En David, el criador, ha estat exemplar.
La Duna i els símptomes: aquell patró que et va erosionant per dins
Quan convius amb un cadell, el teu dia es reorganitza sense que te n’adonis. El rellotge ja no és teu: és de les sortides, dels àpats, del joc, del descans, dels “a veure què fa ara”. I aquesta nova rutina té una mena d’alegria de fons, com si la casa recuperés moviment. Amb la Duna, això hi era. Però també hi havia una ombra.
Menjava i, massa sovint, al cap de poc venien arcades, regurgitacions, algun vòmit. A vegades era just després de l’àpat; a vegades després de beure. I el pitjor no era només l’episodi en si, sinó el que provoca emocionalment: et deixa en un estat de vigilància permanent. Comences a mirar el gos d’una altra manera. No només el mires per estimar-lo o per jugar-hi, el mires per detectar signes. I això cansa.
Al principi, com gairebé tothom, intentes explicar-ho amb coses “normals”: que s’està adaptant, que menja massa ràpid, que el canvi de pinso, que el nervi, que potser una intolerància, que potser l’aigua… I també et mires a tu mateix: si has calculat bé les quantitats, si l’has remullat prou, si li has afegit massa paté, si l’has excitat abans de menjar, si… Aquesta combinació d’optimisme i culpa és un còctel molt humà.
Però hi ha un moment en què la realitat és massa consistent. Quan un patró es repeteix, ja no és un episodi: és un símptoma. I quan hi ha símptoma, toca fer el que menys ve de gust: deixar de “provar” i començar a diagnosticar.
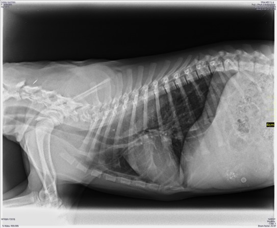
Les radiografies del 29/12/2025: el moment en què el relat canvia
El 29 de desembre de 2025 li van fer radiografies (RX). Recordo aquell dia amb una nitidesa estranya: el pas d’estar preocupat a estar seriosament preocupat. Quan la veterinària decideix que cal imatge, la cosa deixa de ser “observació” i passa a ser “veure què hi ha”.

El resultat va apuntar a una paraula que jo no havia necessitat tenir al meu vocabulari fins llavors: megaesòfag.
Simplificant (de manera superficial), el megaesòfag és un problema de motilitat: l’esòfag no impulsa el menjar cap a l’estómac com hauria de fer. El menjar pot quedar-se retingut, acumular-se i tornar… però no com un vòmit digestiu “típic”, sinó com una regurgitació que pot ser silenciosa i traïdora. I el risc que ho torna realment greu és l’aspiració: que el contingut acabi a les vies respiratòries i provoqui pneumònia per aspiració.
A partir d’aquí, el teu cervell canvia de pantalla. Ja no és “com ho ajustem perquè mengi millor?”. És “quin risc estem gestionant i quina vida implica això?”. La diferència és enorme.
Racionalitat (i honestedat): quan “operable” no vol dir “resolt”
En alguns casos, el megaesòfag està associat a una causa anatòmica operable, com un anell vascular que comprimeix l’esòfag. Això obre una possibilitat. Però aquí és important no caure en l’autoengany del “si hi ha cirurgia, hi ha solució”.
Operable vol dir: proves addicionals, intervenció, recuperació i incertesa. I fins i tot si la cirurgia va bé, pot no significar una vida normal. Pot significar una vida condicionada: menjar en vertical, control, vigilància post-àpat, episodis que poden repetir-se, por recurrent a la pneumònia, i una logística familiar que no és menor.
En aquest punt arriba un dilema que costa verbalitzar perquè sembla que estiguis “posant condicions” a l’amor. Però és el dilema real: quin és l’escenari viable per la gossa i per nosaltres? I encara més important: quin és l’escenari més digne per ella?
Perquè “fer-ho tot” de vegades és fer-ho tot per no assumir el dolor. I “allargar” de vegades és allargar perquè et fa por decidir. No és còmode dir-ho, però és així.
El paper d’en David: quan un criador actua com ha d’actuar
I aquí és on entra la part que vull destacar amb tota claredat: la manera d’actuar d’en David Estrach (Vom Haus d’Anoia).
Com qualsevol situació complicada, hi ha professionals que s’esmunyen, que busquen excuses, que dilueixen responsabilitats, o que intenten convertir un problema en una disputa. I n’hi ha d’altres que fan el que toca. En David ha estat d’aquests.
Ha actuat amb responsabilitat, perquè ha assumit el problema i la càrrega. Ha actuat amb professionalitat, perquè ha entès què cal fer i què no cal fer, i ha aportat criteri i calma. I ha actuat amb empatia, que és el detall que sovint falta: aquella capacitat de no tractar-te com un client que molesta, sinó com una família que està patint i que necessita suport.
Quan tens un cadell malalt a casa, el pitjor és la sensació d’impotència. I ell, amb la seva manera de fer, ens ha ajudat a no quedar-nos atrapats en la impotència.
La decisió: deixar anar la Duna (un dol estrany, però real)
Finalment, vam prendre una decisió que no era la que volíem, però sí la que ens semblava més coherent: la Duna tornaria amb el criador, que es faria càrrec de les proves addicionals i del camí que calgués perquè tingués una oportunitat real.
Dir-ho és fàcil. Fer-ho, no.
Perquè aquí hi ha una paradoxa emocional molt dura: la gossa no ha mort, però tu la perds. No hi ha ritual, no hi ha frase social, no hi ha “tancament”. Només hi ha un buit sobtat i una casa que de cop sembla més gran. I objectes que ja no tenen ús: el bol, la corretja, el lloc on dormia, l’espai on la miraves mentre menjava… tot queda com a record d’una rutina que s’ha interromput.
I alhora hi ha un altre sentiment, encara més incòmode: una mena d’alleujament culpable. No perquè no l’estimis, sinó perquè saps que ara està en mans d’algú que pot actuar amb experiència i recursos, i això redueix la sensació de risc immediat. Aquest alleujament no elimina la tristesa. Però hi conviu.
L’alternativa: esperar fins al juny de 2026
En aquella conversa també va aparèixer una alternativa que, dins del desastre, tenia una lògica clara: esperar fins al juny de 2026 per rebre una nova cadella, la millor possible dins del criteri del criador, com a continuïtat del projecte i també com a reparació d’una situació absolutament injusta.
Racionalment, l’espera tenia sentit. Emocionalment, costava. Quan has creat vincle, el teu cervell vol “tapar el forat” de seguida. Però aquesta és la trampa: prendre una decisió impulsiva quan estàs vulnerable acostuma a ser mala idea. I amb animals, això es paga.
Així que, mentalment, ja ens estàvem situant en l’escenari de juny.
I llavors, de cop, el calendari es va trencar.
La trucada del diumenge 4/01/2026: la primera notícia de la Haka
El gir va començar amb una trucada.
El diumenge 4 de gener de 2026, en David em va telefonar mentre conduïa, anant a recollir la Haka. Jo no sabia res de res; no era una conversa que vingués “de fa dies”, ni una opció sobre la taula. Va ser la primera notícia d’aquesta oportunitat.
Recordo el to: no sonava com algú “venent” res, sinó com algú que et comparteix una situació real, humana, delicada, i que et pregunta —sense pressa però amb urgència— si vols escoltar-la. Em va dir que la gossa “tornava de lluny”, que el propietari havia patit una desgràcia familiar i que li era impossible continuar amb ella. I que, per això, ell mateix estava anant a buscar-la.
Mentre jo encara estava digerint el que havia passat amb la Duna i ja m’havia resignat a esperar fins al juny, aquella trucada va obrir un altre camí. No com una solució màgica, sinó com una possibilitat concreta. I et posa davant d’una pregunta que, si ets honest, et remou: i si la vida ara ens està oferint una alternativa que no havíem ni imaginat?
Conèixer la Haka: vigília de Reis, al migdia
L’endemà, el 5 de gener de 2026, vigília de Reis, al migdia, vam conèixer la Haka. I aquí és on la cosa es torna estranya, perquè el teu cos no sap quin guió seguir. D’una banda, tens ganes que la vida torni a tenir aquella energia d’un gos a casa. De l’altra, estàs escaldat. No vols precipitar-te. No vols projectar.
No va ser una escena d’eufòria. Va ser més aviat un moment de prudència, d’observació, de mirar-la i deixar que ella també ens mirés. Intentar captar el seu estat, el seu temperament, la seva manera d’estar. I, sobretot, entendre que la Haka no era un recanvi de res. Era una gossa amb història pròpia, que necessitava una llar.
Un gos no és un recanvi. Però sí pot ser una continuïtat, si neix de la responsabilitat i no de la pressa.
Ahir: fer de titular (8/01/2026)
Hi ha un moment en què la història deixa de ser “a veure què passa” i passa a ser “això ja és casa”. Ahir, 8 de gener de 2026, vam anar a fer el canvi de titular.
Era un tràmit, sí. Però també era una decisió que pren forma. És el punt en què acceptes que la Haka ja no és una possibilitat, sinó una etapa nova. I que ara toca fer el que tocava des del principi: construir rutina, confiança, i una relació que no depengui de la comparació amb la Duna, sinó del que la Haka és.
Una nova etapa amb més criteri (i amb la mateixa tendresa)
Després del que hem viscut, crec que la paraula clau és aquesta: criteri. Criteri per observar, per no autoenganyar-te, per actuar ràpid quan hi ha senyals, per no precipitar-te quan hi ha emoció. I també criteri per reconèixer quan algú fa les coses bé.
Perquè aquest episodi també m’ha deixat una idea molt clara: en un món on és fàcil trobar opinions, recomanacions i soroll, el que realment importa és qui respon quan hi ha un problema real. I en David ha respost com ha de respondre algú que cria animals amb consciència: assumint, cuidant i acompanyant.
Gràcies a aquesta manera de fer, la Duna té una oportunitat real en mans expertes. I gràcies a això, nosaltres podem començar aquesta nova etapa amb la Haka d’una manera més madura: amb il·lusió, sí, però també amb una calma nova. No l’alegria ingènua del primer dia, sinó una alegria més sòlida, més agraïda, més conscient.
I si aquesta història acaba tenint una mena de moral, potser és aquesta: estimar un gos no és només gaudir-lo. És assumir el paquet complet. I quan tens la sort de trobar algú que també assumeix el paquet complet —com ha fet en David—, tot pesa menys. No perquè el dolor desaparegui, sinó perquè et sents acompanyat. I això, quan tens el cor encongit, és gairebé tan important com qualsevol diagnòstic.
